Tổ chức Y tế thế giới tuyên bố viêm phổi gây ra do vi-rút Corona chủng mới (ủy ban quốc tế về phân loại vi-rút corona đặt tên cho vi-rút trong đợt dịch này là Severe Acute Respiratory Syndrome CoronaVirus 2 viết tắt là SARS-CoV-2) là đại dịch toàn cầu và đặt tên là dịch bệnh COVID-19.
Giới thiệu
– Hôm 11 tháng 3, Tổ chức Y tế thế giới tuyên bố viêm phổi gây ra do vi-rút Corona chủng mới (ủy ban quốc tế về phân loại vi-rút corona đặt tên cho vi-rút trong đợt dịch này là Severe Acute Respiratory Syndrome CoronaVirus 2 viết tắt là SARS-CoV-2) là đại dịch toàn cầu và đặt tên là dịch bệnh COVID-19. Trước hiểm họa này đòi hỏi sự chung tay của tất cả mọi người từ người dân đến người quản trị trong chính quyền, từ người ngoài chuyên môn ngành Y cho đến người đang làm việc trong ngành Y để cùng nhau thực hiện công cuộc phòng và chống dịch bệnh COVID-19.
– Kinh nghiệm từ các khoa Chẩn đoán hình ảnh ở trong các bệnh viện tại tâm dịch Vũ Hán và ở các thành phố kế cận đã chỉ ra vai trò không nhỏ của các bác sĩ chẩn đoán hình ảnh trong góp phần chẩn đoán và chăm sóc điều trị cho người bệnh mắc viêm phổi COVID-19 và xa hơn nữa là trong góp phần vào công cuộc phòng chống lây lan của dịch bệnh. Bài viết này được người viết chắt lọc từ nguồn tài liệu đăng trên các tập san chuyên ngành chẩn đoán hình ảnh hàng đầu thế giới về giá trị của kỹ thuật Cắt lớp vi tính trong mùa dịch viêm phổi do COVID-19.
Kỹ thuật RT-PCR chẩn đoán COVID-19 và vai trò của Cắt lớp vi tính
– Mặc dầu các triệu chứng lâm sàng của người bệnh COVID không đặc hiệu, nhưng việc hiểu biết về các biểu hiện này là cực kỳ quan trọng cho người dân, cũng như cho nhân viên y tế trong sàng lọc bệnh ở giai đoạn sớm. Bệnh nhân mắc COVID-19 điển hình có các biểu hiện sốt, ho khan, đau họng, khó thở, mệt mỏi, nhược cơ [1,2]. Các xét nghiệm thường qui cho thấy các chỉ dấu của tình trạng nhiễm siêu vi như giảm số đếm bạch cầu, giảm tỷ lệ thành phần bạch cầu dòng lympho, tăng chỉ điểm phản ứng viêm (CRP), tăng nhẹ tốc độ lắng máu. Như thế, trước một bệnh nhân có các biểu hiện của đường hô hấp trên kèm giảm bạch cầu, giảm thành phần Lympho và nhất là có yếu tố dịch tễ thì các cơ sở y tế ban đầu phải nghi ngờ người bệnh đã mắc COVID-19 để có tiến hành các xét nghiệm chuyên sâu để làm sáng tỏ hơn.
– Phương pháp chuẩn mực để chẩn đoán xác định viêm phổi do vi-rút COVID-19 là xét nghiệm RT-PCR (Real-time Polymerase Chain Reaction), đây là loại xét nghiệm sinh học phân tử dùng để phát hiện chuỗi a-xít nucleotid của vi-rút SARS-CoV-2 trong bệnh phẩm lấy từ tăm bông quét khoang mũi, khoang hầu-họng hoặc lấy từ dịch rửa khí-phế quản. Tuy nhiên, các báo cáo cho thấy RT-PCR có độ nhạy phát hiện SARS-CoV-2 không cao, chỉ vào khoảng 60-71% [3, 4], nhất là trong giai đoạn sớm !!! (khả năng do tăm bông quét bệnh phẩm không đạt chuẩn hoặc do độ nhạy của kỹ thuật xét nghiệm) , điều này dẫn đến phải lặp lại xét nghiệm nhiều lần làm chậm trễ trong công cuộc chăm sóc, điều trị cho người bệnh và hơn thế nữa làm chậm lại quá trình phòng chống dịch.
– X Quang phổi tuy là kỹ thuật được lựa chọn hàng đầu trong đánh giá bệnh lý đường hô hấp, nhưng do hạn chế về độ phân giải không gian lẫn độ phân giải tương phản nên X Quang phổi có độ nhạy và độ đặc hiệu không cao trong phát hiện các thương tổn gây ra do COVID-19 [2].
– Trong khi đó, chụp cắp lớp vi tính (CLVT) phổi đã được chứng minh là có độ nhạy 56-98% [2,4], trong chẩn đoán viêm phổi do vi-rút SARS-CoV-2 ngay cả trong giai đoạn sớm (2-3 ngày đầu khởi phát bệnh), nhờ thế giúp điều chỉnh chẩn đoán sớm cho bệnh nhân có chẩn đoán âm tính giả trên xét nghiệm RT-PCR và giúp cho bác sĩ có biện pháp điều trị thích hợp cho người bệnh và nhất là giúp ích rất nhiều trong quyết định thái độ phòng chống dịch của các cấp hữu trách.
Dấu hiệu nào giúp gợi ý chẩn đoán viêm phổi do SARS-CoV-2?

– Các đặc điểm hình ảnh CLVT nổi bật của thương tổn phổi do SARS-CoV-2 là:
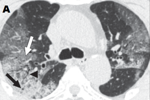
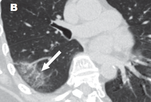
+ Thương tổn thường cả hai bên, nhiều ổ là thường gặp, phân bố thường ở ngoại vi, dưới màng phổi và đáy phổi (hình 1, 2) [1,2,5,6]. Theo một thống kê trên 51 bệnh nhân [7] thì thương tổn hiện diện ở cả hai bên phổi trong 88% trường hợp trong đó thương tổn tác động trên nhiều hơn 2 phân thùy , 85% thương tổn ở ngoại vi và 82% trường hợp thì thương tổn thuộc các phân thùy sau.
+ Hầu hết các báo cáo cho thấy thương tổn thể hiện bởi hình ảnh đám mờ với các hình thái: từ dạng kính đục đơn thuần (hình 1a)-loại này là nổi trội trong giai đoạn sớm, đến đám mờ dạng kính đục có biểu hiện dày vách liên tiểu thùy, vách trong tiểu thùy, dày dạng lưới (hình 1b), đến đám mờ dạng kính đục kèm đặc phổi từng phần (hình 2A); đám mờ dạng đặc phổi đơn thuần (hình 1c). Đám mờ thường có hình dạng hình học; có một số trường hợp thì các đám mờ dạng kính đục hay đám mờ đặc phổi lại có dạng hình tròn hoặc có biểu hiện dấu halo đảo ngược (dấu hiệu để chỉ thương tổn gồm viền đặc phổi dày tối thiểu 2 mm bao quanh vùng kính mờ ở trung tâm). Một kiểu thương tổn khác là dải mờ gặp với tần suất ít hơn (bảng 1).
+ Ngoài ra còn có một các dấu hiệu khác như: lớn ra của cấu trúc mạch máu bên trong đám mờ thương tổn (hình 2B), dày vách liên tiểu thùy và trong tiểu thùy tạo nên hình ảnh lát đá không đều (hình 1b, 2A), hình cây phế quản khí (hình 2A), dấu halo đảo ngược.
+ Điều cần lưu ý là các biểu hiện như: tràn dịch màng phổi, thương tổn phổi dạng nốt, hạch trung thất hay hạch rốn phổi thì không đặc thù cho COVID-19, có báo cáo không ghi nhận các biểu hiện này [2,5,8], có báo cáo thì ghi nhận rất ít ca có các dấu hiệu này [7]. Các thương tổn này nếu xuất hiện nhiều thì ưu tiên nghĩ đến viêm phổi do nguyên nhân khác [1,2,5,6].


Tiến triển của các dấu hiệu CLVT
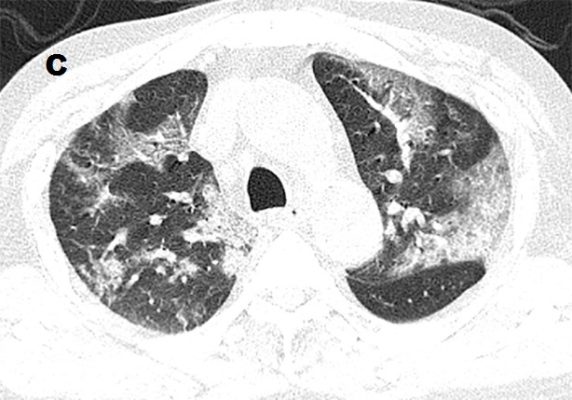
– Pan và cộng sự [6] quan sát ở 21 bệnh nhân được xếp loại thể nhẹ (không có suy hô hấp, không thở máy) thì diễn tiến của bệnh được chia thành 4 giai đoạn tương ứng với biến đổi của các biểu hiện trên hình CLVT: 1/ giai đoạn sớm (0-4 ngày), trong giai đoạn này thì hình ảnh đám mờ kính đục là chủ yếu, diện thương tổn nhỏ; 2/ giai đoạn tiến triển (5 -8 ngày), trong giai đoạn này, viêm nhiễm trở nên trầm trọng và lan rộng hơn, từ biểu hiện đám mờ kính đục xuất hiện thêm biểu hiện lát đá không đều và đặc phổi; 3/ giai đoạn đỉnh điểm (9 -13 ngày), trong giai đoạn này thì tốc độ lan rộng của thương tổn chậm lại, hình ảnh đặc phổi chiếm ưu thế bên cạnh thương tổn đám mờ kính đục lan tỏa và mẫu hình ảnh lát đá không đều, xuất hiện các dải xơ trong nhu mô; 4/ Giai đoạn hấp thu (trên 14 ngày), trong giai đoạn này thì tình trạng viêm nhiễm được kiểm soát, thương tổn đặc phổi được hấp thu dần qua trung gian hình kính đục đơn thuần và không có hình ảnh lát đá không đều, sau đó thì xóa mất hoặc xuất hiện các dải xơ.

– Trong trường hợp diễn tiến xấu đi về mặt lâm sàng thì trên hình ảnh CLVT cho thấy các biểu hiện biến đổi theo hướng gia tăng mức độ trầm trọng; nghiã là thương tổn gia tăng về mặt số lượng, phân bố lan tỏa hơn, số thùy phổi bị tác động nhiều hơn [7,1011,12]; thương tổn gia tăng kích thước, lúc này vị trí thương tổn không chỉ khu trú ở ngoại vi dưới màng phổi mà còn lan dần về phía trung tâm; về mặt đậm độ thì thương tổn các loại có biểu hiện gia tăng đậm độ hơn, với loại thương tổn dạng kính đục thì tăng dần mật độ theo hướng hình thành đám mờ kiểu lát đá không đều (do dày ra của vách liên tiểu thùy và xuất hiện các vách bên trong tiểu thùy phổi) và mô phổi đặc thay thế dần diện kính đục, với loại thương tổn dạng đặc phổi thì đậm độ cũng gia tăng hơn, tạo nên hình ảnh “phổi trắng”, điều này khiến chức năng của phổi suy giảm hẳn. Một điểm đặc biệt là trong tiến triển của thương tổn của viêm phổi COVID-19 không có sự hình thành hốc hoại tử như trong các bệnh lý viêm phổi do nhiễm trùng. Các tiến triển xấu đi của thương tổn thường gặp ở nhóm bệnh nhân già, có bệnh lý nền (hình 4,5) .

Chẩn đoán phân biệt
– Trong thời gian đầu của đợt dịch thì các báo cáo cho thấy mặc dù độ nhạy của CLVT là cao nhưng lại có độ đặc hiệu thấp là 25% theo báo cáo của các tác giả Tao Ai [3]. Theo ý kiến của nhóm tác giả này thì sở dĩ độ đặc hiệu thấp là do các dấu hiệu thương tổn trên CLVT chồng lắp với các dấu hiệu CLVT của viêm phổi do các chủng vi-rút khác, nhất là viêm phổi do cùng một chủng loại như viêm phổi SARS, viêm phổi MERS Trung đông.
– Tuy nhiên, nhóm tác giả Bai [13] cho thấy CLVT có thể phân biệt thương tổn viêm phổi do SARS-CoV-2 với thương tổn viêm phổi do các loại vi-rút khác với độ chính xác cao 84-97%. So sánh hình ảnh CLVT viêm phổi do SARS-CoV-2 và do vi-rút khác, nhóm nghiên cứu chỉ ra: viêm phổi do SARS-CoV-2 có phân bố thương tổn ở ngoại vi hơn (80% so với 57%), tạo thương tổn dạng kính mờ vượt trội (91% so với 68%), mờ dạng lưới mảnh gặp nhiều hơn (56% so với 22%), dày thành mạch máu nhiều hơn (59% so với 22%), dấu hiệu halo đảo ngược gặp nhiều hơn (11% so với 1%) ; ít gặp kiểu phân bố trung tâm lẫn ngoại vi (14% so với 35%), ít gặp tràn dịch màng phổi (4% so với 39%), và hiếm khi có hạch (2,7% so với 10,2 %).
– Yan Li [10] và công sự nhận xét trên lô 53 bệnh nhân trong nghiên cứu của họ là các biểu hiện với dấu Halo và dấu Halo đảo ngược cũng được tìm thấy trong thương tổn ở bệnh nhân COVID-19 tuy với tần suất ít, trong khi đó ở 2 đợt dịch do chủng vi rút Corona SARS (Severe Acute Respiratory Syndrome- hội chứng hô hấp cấp năm 2002 ) và MERS (Middle East respiratory syndrome – hội chứng hô hấp cấp Trung Đông năm 2012) thì không thấy mô tả các dấu hiệu này; ngoài ra trong SARS và MERS thì thương tổn chủ yếu là một ổ.
– Một nhận định của phần lớn các nghiên cứu là không thấy thương tổn dạng hang ở các bệnh nhân mắc COVID-19.

Giá trị của CLVT trong chẩn đoán bệnh COVID-1
– Với khả năng thực hiện mặt cắt ngang bề dày dưới 1 mm ở các máy CLVT hiện nay và dựng hình đa diện, rõ ràng CLVT đã giúp phát hiện thương tổn phổi đặc thù trong viêm phổi COVID-19, nhờ thế có báo cáo đã cho thấy CLVT có độ nhạy phát hiện viêm phổi COVID-19 lên đến 98% trường hợp so với RT-PCR chỉ phát hiện được 71% trường hợp trong những ngày đầu khởi phát bệnh [4]. Tao Ai [3] khảo sát 888 ca viêm phổi COVID có xác minh chẩn đoán bởi RT-PCR đã cho thấy đô nhạy, độ đặc hiệu, độ chính xác của CLVT trong chẩn đoán bệnh viêm phổi COVID-19 lần lượt là 97%, 25% và 68%.
– Gần đây, nhóm nghiên cứu Nhật [14] đã cho thấy một nhận xét khá thú vị là CLVT đã phát hiện thương tổn trong 54% trường hợp nhiễm SARS-CoV-2 nhưng chưa có bất kỳ dấu hiệu khởi phát bệnh nào. Như thế những thương tổn này được xem là biểu hiện tiền lâm sàng, chúng thể hiện điển hình là những đám mờ dạng kính đục tinh tế, có kích thước nhỏ. Nhận xét này đã giúp ích rất nhiều cho các nhà điều trị cũng như các nhà vạch định chiến lược phòng chống dịch bệnh nhằm có thái độ xử trí mới, thích hợp hơn đối với nhóm nhiễm vi-rút trong phòng ngừa, cách ly để khống chế dịch bệnh.
Tóm lại
– Xét nghiệm RT-PCR vẫn là tiêu chuẩn vàng để chẩn đoán bệnh COVD-19, mặc dù có nhiều nổ lực để cải thiện độ chính xác của kỹ thuật xét nghiệm này nhưng vẫn còn các trường hợp âm tính giả, nhất là trong giai đoạn sớm của bệnh. Kỹ thuật CLVT đã trở thành kỹ thuật không thể thiếu được trong chẩn đoán, chăm sóc theo dõi diễn tiến bệnh nhân COVID-19 nhờ vào khả năng cung cấp thông tin về các loại thương tổn khá đặc thù của bệnh:
+ Thương tổn thường hiện diện ở cả hai bên phổi, phân bố ngoại vi trường phổi (dưới màng phổi), tập trung ở các phân thùy sau, số lượng thường là nhiều ổ.
+ Thương tổn thể hiện dưới hình ảnh đám mờ kính đục với các mức độ tiến triển thành mờ đặc phổi.
+ Một số dạng thương tổn ít gặp hơn như: dải mờ, nốt mờ có dấu halo, dấu halo đảo ngược
+ Các loại thương tổn như tràn dịch màng phổi, hạch, thương tổn dạng nốt, thương tổn tạo hang thì không phải là những dấu hiệu đặc thù ở bệnh nhân COVID-19.
– Gần đây với việc đưa vào trí tuệ nhân tạo trong chẩn đoán bệnh COVID-19 thì việc chẩn đoán sớm, chính xác hơn [16] sẽ khiến cho vai trò của CLVT trong mùa dịch bệnh COVID-19 ngày một lớn hơn.
Tác giả bài viết : PGS.TS Nguyễn Phước Bảo Quân (GĐ điều hành Medic-Huế, giảng viên thỉnh giảng ĐH YD Cần Thơ, ĐH YD Huế)
Tài liệu tham khảo:
1. Zi Yue Zu et al. Coronavirus Disease 2019 (COVID-19): A Perspective from China. Radiology 2020.
2. Kanne JP, Little BP, Chung JH, Elicker BM, Ketail LH. Essentials for Radiologists on COVID-19: An Update—Radiology Scientific Expert Panel. Radiology 2020. Doi: 10.1148/radiol.2020200527. Published February 27, 2020. Accessed February 27, 20205.
3.Tao Ai et al. Correlation of chest CT and RT-PCR Testing in coronavirus Disease 2019 (COVID-19) in China: A report of 1014 cases. Radiology 2020. Doi:10:1148/radiol.2020200642. Publish Feb.26.2020.
4.Fang Y, Zhang H, Xie J, Lin M, Ying L, Pang P, Ji W. Sensitivity of Chest CT for COVID-19: Comparison to RT-PCR. Radiology 2020. Doi: 10.1148/radiol.2020200432. Published February 19, 2020. Accessed February 29, 2020.
5. Chung M, Bernheim A, Mei X, et al. CT imaging features of 2019 novel coronavirus (2019-nCoV). Radiology 2020.
6.Feng Pan, et al. Time Course of Lung Changes On Chest CT During Recovery From 2019 Novel Coronavirus (COVID-19) Pneumonia. Radiology 2020.
7. Fengxiang Song et al. Emerging 2019 Novel Coronavirus (2019-nCoV) Pneumonia. Radiology 2020; 295:210–217.
8. Shohei Inui et al. Chest CT Findings in Cases from the Cruise Ship “Diamond Princess” with Coronavirus Disease 2019 (COVID-19). Radiology 2020-Cardiac Imaging
9.Yueying Pan et al. Imaging changes in patients with 2019-nCov. European Society of Radiology 2020
10.Yan Li, Liming Xia. Coronavirus Disease 2019 (COVID-19): Role of Chest CT in Diagnosis and Management. AJR 2020; 214:1–7.
11. Kanne JP et al. Chest CT Findings in 2019 Novel Coronavirus (2019-nCoV) Infections from Wuhan, China: Key Points for the Radiologis
12.Adam Bernheim, M Chest CT Findings in Coronavirus Disease-19 (COVID-19): Relationship to Duration of Infection. Radiology 2020
13. Harrison X. Bai , et al. Performance of radiologists in differentiating COVID-19 from viral pneumonia on chest CT. Radiology 2020.
14. Shohei Inui et al. Chest CT Findings in Cases from the Cruise Ship “Diamond Princess” with Coronavirus Disease 2019 (COVID-19). Radiology: Cardiothoracic Imaging 2020
15. Lijuan Qian et al. Severe Acute Respiratory Disease in a Huanan Seafood Market Worker: Images of an Early Casualty. Radiology: Cardiothoracic Imaging 2020; 2(1):e200033.
16. Lin Li et al. Artificial Intelligence Distinguishes COVID-19 from Community Acquired Pneumonia on Chest CT. Radiology: Cardiothoracic Imaging 2020.
Tác giả bài viết: PGS.TS Nguyễn Phước Bảo Quân
